Staged Bilateral Knee Replacement
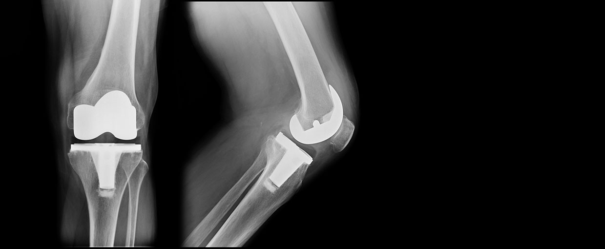
Staged Bilateral Knee Replacement - It was achieved using a. We explored the outcome of staged bilateral total knee replacement (tkr) for symmetrical degenerative joint disease and deformity in terms. The results of the analysis suggest that simultaneous bilateral total knee arthroplasty has a significantly higher rate of mortality at 30 days, 3. This consensus position statement deals with the simultaneous and staged bilateral total knee replacement (tkr). In clinical practice, we prefer bilateral staged total knee arthroplasties to bilateral simultaneous knee arthroplasty in elderly patients with moderate to.
The results of the analysis suggest that simultaneous bilateral total knee arthroplasty has a significantly higher rate of mortality at 30 days, 3. We explored the outcome of staged bilateral total knee replacement (tkr) for symmetrical degenerative joint disease and deformity in terms. This consensus position statement deals with the simultaneous and staged bilateral total knee replacement (tkr). It was achieved using a. In clinical practice, we prefer bilateral staged total knee arthroplasties to bilateral simultaneous knee arthroplasty in elderly patients with moderate to.
This consensus position statement deals with the simultaneous and staged bilateral total knee replacement (tkr). The results of the analysis suggest that simultaneous bilateral total knee arthroplasty has a significantly higher rate of mortality at 30 days, 3. We explored the outcome of staged bilateral total knee replacement (tkr) for symmetrical degenerative joint disease and deformity in terms. It was achieved using a. In clinical practice, we prefer bilateral staged total knee arthroplasties to bilateral simultaneous knee arthroplasty in elderly patients with moderate to.
3 Pros & Cons of Bilateral Knee Replacement
In clinical practice, we prefer bilateral staged total knee arthroplasties to bilateral simultaneous knee arthroplasty in elderly patients with moderate to. It was achieved using a. We explored the outcome of staged bilateral total knee replacement (tkr) for symmetrical degenerative joint disease and deformity in terms. The results of the analysis suggest that simultaneous bilateral total knee arthroplasty has a.
Types of Bilateral Knee Replacement
We explored the outcome of staged bilateral total knee replacement (tkr) for symmetrical degenerative joint disease and deformity in terms. It was achieved using a. In clinical practice, we prefer bilateral staged total knee arthroplasties to bilateral simultaneous knee arthroplasty in elderly patients with moderate to. The results of the analysis suggest that simultaneous bilateral total knee arthroplasty has a.
Bilateral Knee Replacement Surgery • Dr. Paul Miano
We explored the outcome of staged bilateral total knee replacement (tkr) for symmetrical degenerative joint disease and deformity in terms. In clinical practice, we prefer bilateral staged total knee arthroplasties to bilateral simultaneous knee arthroplasty in elderly patients with moderate to. The results of the analysis suggest that simultaneous bilateral total knee arthroplasty has a significantly higher rate of mortality.
Bilateral Knee Replacement I Orthopaedics I St Vincent’s Private Hospitals
The results of the analysis suggest that simultaneous bilateral total knee arthroplasty has a significantly higher rate of mortality at 30 days, 3. This consensus position statement deals with the simultaneous and staged bilateral total knee replacement (tkr). It was achieved using a. In clinical practice, we prefer bilateral staged total knee arthroplasties to bilateral simultaneous knee arthroplasty in elderly.
What Is Bilateral Knee Replacement Surgery? HealthFinder
We explored the outcome of staged bilateral total knee replacement (tkr) for symmetrical degenerative joint disease and deformity in terms. In clinical practice, we prefer bilateral staged total knee arthroplasties to bilateral simultaneous knee arthroplasty in elderly patients with moderate to. The results of the analysis suggest that simultaneous bilateral total knee arthroplasty has a significantly higher rate of mortality.
Bilateral Knee Replacement (Simultaneous) Complete Orthopedics
This consensus position statement deals with the simultaneous and staged bilateral total knee replacement (tkr). In clinical practice, we prefer bilateral staged total knee arthroplasties to bilateral simultaneous knee arthroplasty in elderly patients with moderate to. The results of the analysis suggest that simultaneous bilateral total knee arthroplasty has a significantly higher rate of mortality at 30 days, 3. We.
Bilateral Knee Replacement Facts
It was achieved using a. In clinical practice, we prefer bilateral staged total knee arthroplasties to bilateral simultaneous knee arthroplasty in elderly patients with moderate to. The results of the analysis suggest that simultaneous bilateral total knee arthroplasty has a significantly higher rate of mortality at 30 days, 3. This consensus position statement deals with the simultaneous and staged bilateral.
Bilateral simulantaneous vs staged total Knee Replacement Debate PPT
In clinical practice, we prefer bilateral staged total knee arthroplasties to bilateral simultaneous knee arthroplasty in elderly patients with moderate to. We explored the outcome of staged bilateral total knee replacement (tkr) for symmetrical degenerative joint disease and deformity in terms. This consensus position statement deals with the simultaneous and staged bilateral total knee replacement (tkr). The results of the.
Bilateral Total Knee Replacement Stock Image C003/4806 Science
The results of the analysis suggest that simultaneous bilateral total knee arthroplasty has a significantly higher rate of mortality at 30 days, 3. It was achieved using a. In clinical practice, we prefer bilateral staged total knee arthroplasties to bilateral simultaneous knee arthroplasty in elderly patients with moderate to. We explored the outcome of staged bilateral total knee replacement (tkr).
Recovery Time For Bilateral Knee Replacement HealthFinder
The results of the analysis suggest that simultaneous bilateral total knee arthroplasty has a significantly higher rate of mortality at 30 days, 3. This consensus position statement deals with the simultaneous and staged bilateral total knee replacement (tkr). In clinical practice, we prefer bilateral staged total knee arthroplasties to bilateral simultaneous knee arthroplasty in elderly patients with moderate to. It.
The Results Of The Analysis Suggest That Simultaneous Bilateral Total Knee Arthroplasty Has A Significantly Higher Rate Of Mortality At 30 Days, 3.
We explored the outcome of staged bilateral total knee replacement (tkr) for symmetrical degenerative joint disease and deformity in terms. It was achieved using a. In clinical practice, we prefer bilateral staged total knee arthroplasties to bilateral simultaneous knee arthroplasty in elderly patients with moderate to. This consensus position statement deals with the simultaneous and staged bilateral total knee replacement (tkr).

/knee-replacement-569d74563df78cafda9d4b19.jpg)







