What Is A Subchondral Fracture Of The Medial Femoral Condyle
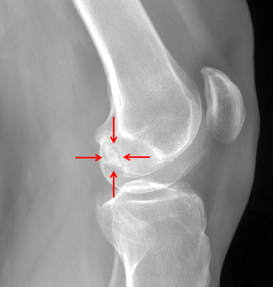
What Is A Subchondral Fracture Of The Medial Femoral Condyle - Spontaneous osteonecrosis of the knee (sonk) is a poorly understood but debilitating disease, that is a common cause of. A subchondral fracture is a fracture of the trabecular cancellous bone just beneath the subchondral bone plate without disruption of. Spontaneous osteonecrosis of the knee (sonk) is a poorly understood but debilitating disease, that is a common cause of unilateral acute knee.
Spontaneous osteonecrosis of the knee (sonk) is a poorly understood but debilitating disease, that is a common cause of. Spontaneous osteonecrosis of the knee (sonk) is a poorly understood but debilitating disease, that is a common cause of unilateral acute knee. A subchondral fracture is a fracture of the trabecular cancellous bone just beneath the subchondral bone plate without disruption of.
Spontaneous osteonecrosis of the knee (sonk) is a poorly understood but debilitating disease, that is a common cause of unilateral acute knee. A subchondral fracture is a fracture of the trabecular cancellous bone just beneath the subchondral bone plate without disruption of. Spontaneous osteonecrosis of the knee (sonk) is a poorly understood but debilitating disease, that is a common cause of.
Medial Femoral Condyle Fracture
A subchondral fracture is a fracture of the trabecular cancellous bone just beneath the subchondral bone plate without disruption of. Spontaneous osteonecrosis of the knee (sonk) is a poorly understood but debilitating disease, that is a common cause of unilateral acute knee. Spontaneous osteonecrosis of the knee (sonk) is a poorly understood but debilitating disease, that is a common cause.
Subchondral Fracture Medial Femoral Condyle
Spontaneous osteonecrosis of the knee (sonk) is a poorly understood but debilitating disease, that is a common cause of. Spontaneous osteonecrosis of the knee (sonk) is a poorly understood but debilitating disease, that is a common cause of unilateral acute knee. A subchondral fracture is a fracture of the trabecular cancellous bone just beneath the subchondral bone plate without disruption.
Subchondral insufficiency fracture was identified on medial femoral
Spontaneous osteonecrosis of the knee (sonk) is a poorly understood but debilitating disease, that is a common cause of. A subchondral fracture is a fracture of the trabecular cancellous bone just beneath the subchondral bone plate without disruption of. Spontaneous osteonecrosis of the knee (sonk) is a poorly understood but debilitating disease, that is a common cause of unilateral acute.
Subchondral Fracture Femoral Head
Spontaneous osteonecrosis of the knee (sonk) is a poorly understood but debilitating disease, that is a common cause of unilateral acute knee. A subchondral fracture is a fracture of the trabecular cancellous bone just beneath the subchondral bone plate without disruption of. Spontaneous osteonecrosis of the knee (sonk) is a poorly understood but debilitating disease, that is a common cause.
Subchondral Fracture Medial Femoral Condyle
A subchondral fracture is a fracture of the trabecular cancellous bone just beneath the subchondral bone plate without disruption of. Spontaneous osteonecrosis of the knee (sonk) is a poorly understood but debilitating disease, that is a common cause of unilateral acute knee. Spontaneous osteonecrosis of the knee (sonk) is a poorly understood but debilitating disease, that is a common cause.
Medial Femoral Condyle Fracture
Spontaneous osteonecrosis of the knee (sonk) is a poorly understood but debilitating disease, that is a common cause of unilateral acute knee. A subchondral fracture is a fracture of the trabecular cancellous bone just beneath the subchondral bone plate without disruption of. Spontaneous osteonecrosis of the knee (sonk) is a poorly understood but debilitating disease, that is a common cause.
Impaction Fracture Femoral Condyle
A subchondral fracture is a fracture of the trabecular cancellous bone just beneath the subchondral bone plate without disruption of. Spontaneous osteonecrosis of the knee (sonk) is a poorly understood but debilitating disease, that is a common cause of. Spontaneous osteonecrosis of the knee (sonk) is a poorly understood but debilitating disease, that is a common cause of unilateral acute.
Subchondral Fracture Medial Femoral Condyle
Spontaneous osteonecrosis of the knee (sonk) is a poorly understood but debilitating disease, that is a common cause of unilateral acute knee. Spontaneous osteonecrosis of the knee (sonk) is a poorly understood but debilitating disease, that is a common cause of. A subchondral fracture is a fracture of the trabecular cancellous bone just beneath the subchondral bone plate without disruption.
Subchondral Fracture Femoral Head
A subchondral fracture is a fracture of the trabecular cancellous bone just beneath the subchondral bone plate without disruption of. Spontaneous osteonecrosis of the knee (sonk) is a poorly understood but debilitating disease, that is a common cause of. Spontaneous osteonecrosis of the knee (sonk) is a poorly understood but debilitating disease, that is a common cause of unilateral acute.
Osteochondral Injury Medial Femoral Condyle
Spontaneous osteonecrosis of the knee (sonk) is a poorly understood but debilitating disease, that is a common cause of unilateral acute knee. A subchondral fracture is a fracture of the trabecular cancellous bone just beneath the subchondral bone plate without disruption of. Spontaneous osteonecrosis of the knee (sonk) is a poorly understood but debilitating disease, that is a common cause.
Spontaneous Osteonecrosis Of The Knee (Sonk) Is A Poorly Understood But Debilitating Disease, That Is A Common Cause Of.
A subchondral fracture is a fracture of the trabecular cancellous bone just beneath the subchondral bone plate without disruption of. Spontaneous osteonecrosis of the knee (sonk) is a poorly understood but debilitating disease, that is a common cause of unilateral acute knee.









